|
查看: 2608|回复: 17
|
如何确定白内障? 政府医院和私人专科,该怎么确认谁的检验才是对?
[复制链接]
|
|
|
本帖最后由 不正不正 于 25-6-2010 10:37 PM 编辑
2008年,在政府诊疗所医生写信下,我开始带母亲去政府医院做眼睛检查,从第一次的检查开始,医生告诉我们母亲的一只眼睛视觉有问题,是因为白内障。不过,因为白内障还没有熟,只需要没半年定期检查,再做决定需不需要动手术。
我还记得第一次在政府医院检查时,我是亲眼看到机器照母亲眼球时,有些血管是裂了。
而2010年的最近一次回到医院检查,原本医院验眼师说,母亲的视力减退,是时候动手术,要我们见到眼科医生和医生谈,并做安排。
结果,我看到医生做询问时,医生反而很惊讶的问我,是谁要说要动手术的?
医生解释说,母亲白内障还没有熟,还可以再等,只需要像往常一样,继续定期检查,直到真的需要动手术时,才动。医生说,因为每个手术都有一定的风险,所以除非真的有必要,才会建议动手术的。
前几天,母亲说,眼睛会一下下痛,所以嫂嫂带了她去私人眼睛专科做检查。而私人专科检查出来说,母亲没有白内障,所以要做其它详细的检查来看问题出在哪里。
母亲这两天作了很多检验,甚者还照脑,医生说要看是不是压住神经线而影响了眼睛视力。目前,私人那里还欠最后一个检查,因为该检查机器坏了,所以需要延迟。
而我现在的问题时,要怎么确认到底政府医院的检查结果是对的,还是私人专科的检查结果是对的?
难道连续的两年在政府医院一直验着的白内障也能搞错吗?
因为要相信那个专科才对呢? |
|
|
|
|
|
|
|
|
|
|
发表于 25-6-2010 10:18 PM
|
显示全部楼层
回复 1# 不正不正
你也得放上全部报告,我们才知道啊。。。 |
|
|
|
|
|
|
|
|
|
|

楼主 |
发表于 25-6-2010 10:39 PM
|
显示全部楼层
回复 2# @res
政府的没有报告。
而图片是在私人医院照的。
 |
|
|
|
|
|
|
|
|
|
|
发表于 25-6-2010 10:46 PM
|
显示全部楼层
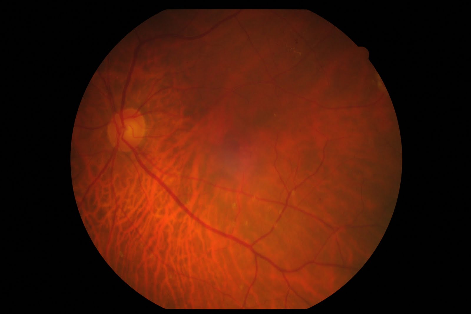
回复 3# 不正不正
这看不到白内障的。这是看眼睛后面的问题,而白内障是lens的问题。除了这个,还有什么? |
|
|
|
|
|
|
|
|
|
|

楼主 |
发表于 25-6-2010 10:51 PM
|
显示全部楼层
回复 4# @res
我手上就只有这个图。
其它的都是头部XRAY。 |
|
|
|
|
|
|
|
|
|
|

楼主 |
发表于 25-6-2010 10:52 PM
|
显示全部楼层
|
|
|
|
|
|
|
|
|
|
发表于 25-6-2010 10:58 PM
|
显示全部楼层
回复 6# 不正不正
你是说CT?
政府医院的record是拿不出来的。 |
|
|
|
|
|
|
|
|
|
|

楼主 |
发表于 25-6-2010 11:03 PM
|
显示全部楼层
回复 7# @res
请问要做怎么样的检查,才能确定是否有白内障?而这个检查,短期做几次会否有不良的影响?
就如XRAY,不能短期照几次。担心有不好的辐射。 |
|
|
|
|
|
|
|
|
|
|
发表于 25-6-2010 11:06 PM
|
显示全部楼层
回复 8# 不正不正
你确定医生说是白内障?还是青光眼?还是什么? |
|
|
|
|
|
|
|
|
|
|

楼主 |
发表于 25-6-2010 11:09 PM
|
显示全部楼层
回复 9# @res
政府医生原本说一个名词是我听不懂的,后来她说:MOK,然后说sekarang belum masak,要等masak了才动手术。 |
|
|
|
|
|
|
|
|
|
|
发表于 25-6-2010 11:14 PM
|
显示全部楼层
是这样吗?
 |
|
|
|
|
|
|
|
|
|
|

楼主 |
发表于 25-6-2010 11:20 PM
|
显示全部楼层
怎么看?
是黑眼球内的白白的那个吗?
以肉眼看,我母亲的眼球是很好的。 |
|
|
|
|
|
|
|
|
|
|

楼主 |
发表于 25-6-2010 11:24 PM
|
显示全部楼层
|
|
|
|
|
|
|
|
|
|
发表于 25-6-2010 11:25 PM
|
显示全部楼层
回复 12# 不正不正
对,就是那个。你母亲几岁了?除了眼睛问题,身体还有什么问题吗(高血压,糖尿病等)? |
|
|
|
|
|
|
|
|
|
|

楼主 |
发表于 25-6-2010 11:28 PM
|
显示全部楼层
|
|
|
|
|
|
|
|
|
|
发表于 25-6-2010 11:34 PM
|
显示全部楼层
回复 13# 不正不正
不好意思,可以脱掉眼镜再拍吗? |
|
|
|
|
|
|
|
|
|
|

楼主 |
发表于 26-6-2010 10:15 AM
|
显示全部楼层
回复 16# @res
两张照片的相机不一样,戴眼镜的照片是新年用大哥的相机拍的,可以放得非常大也很清。 |
|
|
|
|
|
|
|
|
|
|
发表于 26-6-2010 12:22 PM
|
显示全部楼层
回复 17# 不正不正
从照片看,不大像白内障。不过,你母亲是有risk factor(糖尿病)的。
医生说还要做多一个test,是什么test?
CT可以放上来吗? |
|
|
|
|
|
|
|
|
| |
本周最热论坛帖子
|